
Existen distintas técnicas para blanquear los dientes.
Te explicamos los distintos tipos de blanqueamiento dental y las pautas necesarias para mantener el resultado.

El precio del blanqueamiento depende de la técnica utilizada en cada caso.
Te explicamos qué incluye cada opción para que sepas exactamente qué estás valorando.

El blanqueamiento puede generar sensibilidad dental y no siempre está indicado.
Te contamos cuándo conviene y cómo se controla.
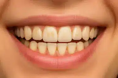
¿Qué es un blanqueamiento dental?
El blanqueamiento dental es un tratamiento de estética dental que mejora el aspecto de la sonrisa aclarando varios tonos el color de los dientes.
Es uno de los tratamientos más demandados por pacientes que desean eliminar manchas, reducir el tono amarillento y devolver luminosidad al esmalte.
Con el tiempo, los dientes pueden oscurecerse por café, té, vino tinto o tabaco, por la acumulación de sarro, ciertos medicamentos o simplemente por el envejecimiento del esmalte.
Realizado bajo supervisión odontológica, el tratamiento ofrece resultados visibles y un plan personalizado según el estado del esmalte y el objetivo estético.
¿En qué consiste el tratamiento de blanqueamiento dental?
Consiste en la aplicación de agentes blanqueadores (habitualmente peróxido de hidrógeno o peróxido de carbamida) que liberan oxígeno y actúan sobre la estructura del esmalte.
Las concentraciones bajas de peróxido de carbamida requieren más tiempo de aplicación para lograr el mismo aclaramiento que las concentraciones altas, aunque con menor riesgo de sensibilidad dental” (Melo et al., 2006).¹
Tras el tratamiento, los dientes quedan más receptivos durante unos días, por lo que pueden absorber con mayor facilidad colorantes de alimentos y bebidas.
Por este motivo es fundamental seguir una dieta blanca, evitando café, té, vino tinto y alimentos muy pigmentados, para mantener los resultados del tratamiento.
Se trata de un procedimiento seguro, realizado bajo control odontológico, que permite aclarar varios tonos sin comprometer la estructura dental.
En algunos casos puede aparecer sensibilidad dental, que se maneja con pautas y productos desensibilizantes.
Tipos de blanqueamiento dental
Existen diferentes técnicas de blanqueamiento dental que permiten aclarar los dientes de forma segura y eficaz.
La elección de un método u otro depende del estado del esmalte, del color inicial y de las expectativas de cada paciente. Siempre debe ser el odontólogo quien valore qué opción es la más adecuada en cada caso.

Blanqueamiento dental LED en clínica
El blanqueamiento dental LED, también conocido como blanqueamiento con lámpara o luz fría, es uno de los procedimientos más habituales en clínica para aclarar el tono de los dientes de forma rápida y controlada.
El tratamiento suele realizarse en tres sesiones clínicas, espaciadas en diferentes días, lo que permite un aclaramiento progresivo y ayuda a reducir la posible sensibilidad dental transitoria.
Durante cada sesión, de unos 20 a 30 minutos, el odontólogo aplica un gel blanqueador con peróxido de hidrógeno sobre el esmalte.
La acción de este gel se potencia mediante una lámpara LED de luz fría, que acelera la liberación de oxígeno y la fragmentación de las moléculas responsables del oscurecimiento dental.

Blanqueamiento dental en casa con férulas
El blanqueamiento dental en casa se realiza con férulas o cubetas personalizadas, diseñadas a partir de moldes o escaneados de la boca.
Estas férulas aseguran una correcta adaptación y evitan el contacto del gel con las encías.
El propio paciente aplica en ellas un gel blanqueador a base de peróxido de carbamida o de hidrógeno en baja concentración, siempre indicado y supervisado por un odontólogo.
Las férulas suelen colocarse durante la noche, a lo largo de 10 días, en función del tono inicial y la sensibilidad dental de cada persona.
Este método ofrece un blanqueamiento progresivo, seguro y controlado, con revisiones en clínica para comprobar el antes y después y garantizar resultados duraderos.

Blanqueamiento dental combinado (clínica + casa)
El blanqueamiento combinado es el protocolo más completo, ya que combina la eficacia inmediata del tratamiento en clínica con el uso continuado de férulas personalizadas en domicilio.
Se recomienda cuando se busca un cambio más intenso y duradero, especialmente en pacientes con dientes muy oscurecidos o que nunca se han realizado un blanqueamiento.
Las técnicas de blanqueamiento clínico con peróxido de hidrógeno en altas concentraciones deben reservarse a protocolos controlados en consulta, mientras que para tratamientos domiciliarios se recomienda el uso de concentraciones menores de peróxido de carbamida, que reducen el riesgo de hipersensibilidad.” (Moradas-Estrada, 2017).²

Blanqueamiento interno dental
El blanqueamiento interno está indicado para dientes desvitalizados, ya sea tras una endodoncia o un golpe, que presentan un tono oscuro o grisáceo y no responden a los blanqueamientos externos.
En este procedimiento, el odontólogo introduce un gel blanqueador, habitualmente perborato de sodio o peróxido de carbamida, dentro de la cámara pulpar del diente.
El producto actúa de forma controlada, liberando oxígeno que aclara la estructura dental desde el interior.
Se trata de una técnica segura e indolora, que permite recuperar el color natural de un diente aislado sin necesidad de recurrir a carillas dentales.
¿Cuál es el blanqueamiento dental más efectivo?
No hay un único tratamiento válido para todos los pacientes. La eficacia del blanqueamiento dental depende de varios factores:
- El color inicial de los dientes: cuanto más oscuro sea el tono de partida, menor será la ganancia de tonos.
- Los hábitos durante y después del tratamiento: seguir una dieta blanca estricta, evitar tabaco y bebidas pigmentadas es determinante para obtener y mantener los resultados.
- La técnica empleada: cada modalidad tiene un alcance distinto en intensidad y duración.
| ¿Cuándo se recomienda? | Eficacia | |
|---|---|---|
Blanqueamiento con luz LED | ¿Cuándo se recomienda?
Mantenimiento o ganar un tono
| Eficacia
⭐⭐⭐
|
Blanqueamiento en casa con férulas | ¿Cuándo se recomienda?
Primera vez, tono oscuro
| Eficacia
⭐⭐⭐⭐
|
Blanqueamiento combinado | ¿Cuándo se recomienda?
Mejor opción para gran cambio
| Eficacia
⭐⭐⭐⭐⭐
|
Blanqueamiento interno | ¿Cuándo se recomienda?
Dientes desvitalizados
| Eficacia
Caso específico
|
El blanqueamiento LED en clínica es útil para mantener dientes ya blancos o mejorar un tono de forma rápida.
El blanqueamiento en casa con férulas personalizadas suele conseguir un mayor aclaramiento progresivo, ya que el gel actúa durante más tiempo.
El blanqueamiento combinado (clínica + casa) ofrece los mejores resultados, al unir la potencia del LED con la continuidad del uso de férulas en casa.
El blanqueamiento interno está indicado solo para dientes oscurecidos por endodoncias o traumatismos.
La clave está en un diagnóstico individualizado: el odontólogo valorará tu caso y te indicará qué técnica es más efectiva según tu tono inicial, tu sensibilidad dental y tus objetivos estéticos.
Cuándo recurrir a un blanqueamiento dental
El blanqueamiento dental está indicado en aquellas situaciones en las que el color de los dientes se ve alterado por factores externos o internos.
A continuación, te mostramos los casos más frecuentes en los que este tratamiento puede ser recomendable.

Dientes amarillos
Con el paso del tiempo, el esmalte pierde brillo y los dientes adoptan un tono amarillento.
El blanqueamiento devuelve un aspecto más luminoso y juvenil.

Manchas por café, té o vino
El consumo habitual de estas bebidas tiñe el esmalte y oscurece la sonrisa.
El tratamiento ayuda a eliminar esas pigmentaciones externas.

Oscurecimiento por tabaco
La nicotina y el alquitrán del tabaco provocan manchas marrones difíciles de quitar con higiene diaria.
El blanqueamiento mejora notablemente el color.

Fluorosis leve
Con el paso del tiempo, el esmalte pierde brillo y los dientes adoptan un tono amarillento.
El blanqueamiento devuelve un aspecto más luminoso y juvenil.

Decoloración por medicamentos
Algunos fármacos, como ciertas tetraciclinas, causan tinciones dentales.
Si no son severas, se pueden reducir con técnicas de blanqueamiento.

Dientes opacos o apagados
Incluso sin manchas visibles, hay sonrisas que se ven grises o oscuras.
El blanqueamiento dental aporta brillo y realza la estética natural.
¿Quién puede hacerse un blanqueamiento dental?
El blanqueamiento dental no es un tratamiento indicado para todos los pacientes.
- Adultos con dientes y encías sanos
- Dientes amarillos o con manchas leves (café, té, vino)
- No fumadores o quienes suspendan el tabaco durante el tratamiento
- Mayores de 18 años con esmalte formado
- Pacientes comprometidos con la dieta blanca
- Embarazadas o en lactancia
- Menores de 18 años
- Caries activas o enfermedad de encías
- Sensibilidad dental intensa
- Empastes, carillas o coronas en zonas visibles
- Manchas internas graves (tetraciclinas, fluorosis moderada/severa)
Dieta blanca en un blanqueamiento
Durante un blanqueamiento dental, seguir una dieta blanca estricta no es una recomendación, es una necesidad.
El mismo proceso que permite al esmalte absorber el gel blanqueador hace que también pueda captar con mayor facilidad cualquier colorante, natural o artificial.
Para obtener los mejores resultados, es fundamental evitar cualquier alimento o bebida con pigmentos durante el tratamiento y, especialmente, en los días posteriores, cuando los dientes aún están sensibles a la pigmentación.
El incumplimiento de esta pauta puede favorecer la repigmentación dental y reducir la eficacia del tratamiento.
Para ayudarte a evitar estos errores y proteger el resultado de tu blanqueamiento, hemos preparado la siguiente guía práctica:

Lo que debes hacer para que el tratamiento funcione.
Evita los errores más comunes.
¿Qué aprenderás en esta guía?
- Por qué la dieta blanca es parte del tratamiento
- Cómo ayuda a consolidar el resultado
- Qué alimentos evitar y cuáles puedes consumir
- Cuánto tiempo debes seguirla realmente
- Menús sencillos para el día a día
Precio blanqueamiento dental
¿Cuánto cuesta un blanqueamiento dental? El precio de un blanqueamiento dental en nuestra clínica dental en Madrid es el siguiente:
| Precio | Incluye | |
|---|---|---|
Blanqueamiento con luz LED | Precio 250 € | Incluye 3 sesiones en clínica
|
Blanqueamiento en casa con férulas | Precio 350 € | Incluye Férulas a medida + gel
|
Blanqueamiento dental combinado (clínica + casa) | Precio 450 € | Incluye LED + férulas en casa
|
Blanqueamiento interno (por diente desvitalizado) | Precio 100 € | Incluye Gel dentro del diente desvitalizado
|
Nota importante sobre el precio de un blanqueamiento dental en nuestra clínica en Madrid.
Las tarifas que se muestran en esta sección son orientativas, ya que es necesaria una valoración previa por parte de nuestros dentistas para confirmar el tratamiento y, en su caso, la necesidad de procedimientos complementarios.
En Clínica Dental Medics Dr. Ferrer trabajamos con presupuestos claros y detallados, que se explican al paciente antes de iniciar cualquier tratamiento.



Descubre todos los tratamientos de estética dental que ofrecemos en nuestra clínica
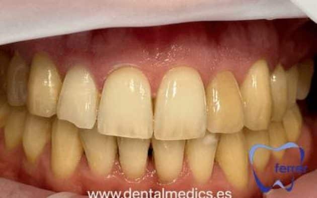
Antes y después de un blanqueamiento dental


¿Qué debes saber antes de realizar un blanqueamiento dental?
A continuación encontrarás algunas de las preguntas más habituales que nos plantean los pacientes interesados en el blanqueamiento dental.
Con ellas buscamos ayudarte a resolver posibles dudas y ofrecerte la información necesaria antes de iniciar el tratamiento.”
¿De qué depende la duración de un blanqueamiento dental?
El blanqueamiento dental ofrece resultados visibles a corto plazo, pero la estabilidad del color en el tiempo depende de varios factores.
Entre los más importantes están la dieta (consumo de café, té, vino tinto), el tabaquismo y los hábitos de higiene oral. (Montes-Sánchez et al., 2024) ³.
¿Qué desventajas tiene un blanqueamiento dental?
Las principales desventajas del blanqueamiento dental son:
- Sensibilidad dental temporal, sobre todo al frío o al calor.
- Irritación de encías si el gel entra en contacto con ellas.
- Resultados variables según el tono inicial y los hábitos del paciente.
- No actúa sobre empastes, carillas o coronas, lo que puede generar diferencias de color.
¿Duele el blanqueamiento dental?
El blanqueamiento dental no duele, pero en algunos casos puede provocar sensibilidad temporal en los dientes o encías, que desaparece al poco tiempo y se controla fácilmente con productos desensibilizantes indicados por el odontólogo.
¿Es seguro el uso de peróxido en el blanqueamiento dental?
El peróxido de hidrógeno y el peróxido de carbamida son los agentes más utilizados en los blanqueamientos dentales porque aclaran eficazmente el color del esmalte.
Sin embargo, su uso en altas concentraciones o durante periodos prolongados puede producir efectos adversos como la desmineralización del esmalte o la sensibilidad dental.
Por este motivo, siempre deben aplicarse bajo la supervisión de un odontólogo, que ajustará la dosis y la duración del tratamiento para garantizar resultados seguros y duraderos (Gasmi Benahmed et al., 2021). ⁴
Referencias bibliográficas
¹ Melo, N., Gallego, G. J., Restrepo, L. F., & Peláez, A. (2006). Blanqueamiento vital y métodos para la valoración de su eficacia y estabilidad. Revista CES Odontología, 19(2), 54–60.
PDF en Revista CES Odontología² Moradas-Estrada, M (2017) “¿Qué material y técnica seleccionamos a la hora de realizar un blanqueamiento dental y por qué? Protocolo para evitar hipersensibilidad dental posterior” Avance en Odontoestomatología 103. Vol. 33 – Núm. 3
Artículo PDF en Scielo³ Montes-Sánchez, S. J., Acosta-Eraz, T. N., & Loor-Tobar, M. J. (2024). Blanqueamiento dental y su estabilidad en el tiempo. Sanitas. Revista arbitrada de ciencias de la salud, 3(Esp. odontología 2 UNIANDES), 53-60.
Artículo completo en PDF⁴ Gasmi Benahmed, A., Gasmi, A., Menzel, A., Hrynovets, I., Chirumbolo, S., Shanaida, M., Lysiuk, R., Shanaida, Y., Dadar, M., & Bjørklund, G. (2021). “A review on natural teeth whitening”. Journal of Oral Biosciences, 63(1), 220–229.
Artículo en PDF (inglés)Especialistas en blanqueamiento dental
En la Clínica Dental Medics del Dr. Ferrer en Madrid contamos con amplia experiencia en tratamientos de blanqueamiento dental, adaptados a las necesidades de cada paciente.
Trabajamos con técnicas actuales y productos seguros, siempre bajo supervisión profesional, para lograr resultados eficaces y naturales.
Solicita tu primera valoración sin coste y recibe un plan de blanqueamiento personalizado, sin compromiso.
Nuestro equipo
El equipo de odontólogos del Dr. Ferrer cuenta con amplia experiencia en blanqueamiento dental y otros tratamientos orientados a mejorar la sonrisa. Aquí puedes conocer a nuestros dentistas.
¿Dónde estamos?
Horario
Lunes a Viernes:
10:00 a 20:00
¿Cómo llegar?
Metro: Muy próximas a las estaciones de metro de Cuatro Caminos y Ríos Rosas.
Autobús: L12 en Cea Bermúdez – Gaztambide. L44 y N21 en San Francisco de Sales – Plaza de Cristo Rey. C1 en Isaac Peral – Hospital Clínico.
¿Dónde aparcar?
La clínica se encuentra en una zona de aparcamiento regulado (verde y azul), junto a las instalaciones deportivas de Golf Canal, donde suele ser sencillo encontrar plaza cerca.
Parking más cercano: Si lo prefieres, también dispones del Parking privado Azafata, a pocos minutos a pie.

Si necesitas un blanqueamiento dental en Murcia, también puedes acudir a nuestra clínica en esta ciudad, donde te atenderán los mismos profesionales y con la misma calidad de tratamientos.
Haz clic en “Calcular Ruta” para saber cómo llegar a nuestra clínica dental en Madrid desde tu ubicación.
Opiniones de blanqueamiento dental
Experiencia y opiniones de pacientes reales de nuestra clínica dental en Madrid con el tratamiento de blanqueamiento dental.
David, paciente de nuestra clínica dental en Madrid, nos habla de su experiencia con el blanqueamiento dental.
En su testimonio explica cómo se sintió durante las sesiones y cómo fue seguir la dieta blanca recomendada.
También comparte si experimentó sensibilidad dental durante el tratamiento y cómo la gestionó.
Gracias a nuestras indicaciones y seguimiento profesional, pudo completar el tratamiento con total tranquilidad y disfrutar del resultado final.
Pide cita para tu blanqueamiento dental en Madrid
Conoce más sobre el blanqueamiento dental
En nuestro blog encontrarás artículos relacionados con el blanqueamiento dental y otros tratamientos de estética dental.




