
Te explicamos las diferentes opciones de implantes dentales: en qué casos se indican, cuántas piezas pueden sustituir, cómo se adaptan a cada necesidad y qué ventajas ofrecen.

Te contamos cuánto cuestan los implantes en nuestra clínica y qué factores influyen en el precio según el número de piezas a reponer y la solución indicada.

Conoce los detalles de nuestra garantía en implantes dentales: en qué situaciones se aplica, qué beneficios ofrece y qué condiciones son necesarias para mantenerla.

Implantes dentales en Madrid realizados por especialistas con amplia experiencia clínica.
Planificamos cada tratamiento con tecnología avanzada para lograr resultados seguros y duraderos.
Recupera tu sonrisa y tu función masticatoria con soluciones personalizadas.
¿Qué son los implantes dentales?
Los implantes dentales son estructuras diseñadas para colocarse en el hueso maxilar o mandibular con el objetivo de sustituir dientes perdidos.
Su función es recuperar tanto la capacidad masticatoria como la estética de la sonrisa.
La pieza principal de un implante dental es un tornillo de titanio, un material altamente biocompatible.
Este tornillo se inserta en el hueso, exactamente en la zona donde anteriormente se encontraba la raíz del diente natural.
Una vez integrado, actúa como una raíz artificial que proporciona estabilidad a coronas, puentes o prótesis completas.

En más del 95 % de los casos se utiliza titanio por su biocompatibilidad, bajísima tasa de rechazo y buena osteointegración.
La alternativa son los implantes de zirconio, un material cerámico biocompatible y sin metales.
El otro componente fundamental de los implantes es la corona dental.
Se trata de la prótesis que reproduce el aspecto del diente original perdido y que desempeña las mismas funciones, tanto en la masticación como a nivel estético.
¿En qué consiste un tratamiento de implantología?
Te explicamos de forma sencilla paso a paso en qué consiste el procedimiento de un tratamiento con implantes.

Valoración de implantes dentales
La planificación de los implantes dentales debe realizarse sobre una evaluación anatómica precisa y, cuando es posible, mediante tomografía volumétrica (CBCT), ya que esta técnica permite determinar la densidad ósea, la posición del nervio dentario y del seno maxilar con gran exactitud, mejorando la seguridad y el pronóstico del tratamiento (Gupta et al., 2023)¹.
Si no hay pérdida ósea y el hueso tiene el volumen adecuado, se puede planificar la cirugía, ya sea con carga inmediata o convencional, según el caso.
En cambio, si hay falta de hueso, puede ser necesario un tratamiento previo como un injerto de hueso, una expansión ósea o una elevación de seno maxilar, para asegurar la estabilidad del implante.

Colocación de implantes dentales
Después, el cirujano procederá a la colocación del tornillo de titanio o zirconio mediante cirugía, según la opción indicada por el especialista.
La intervención se lleva a cabo con anestesia local, y en algunos casos puede acompañarse de sedación consciente para mayor confort del paciente.
El tiempo de colocación de los implantes dentales varía en función de la complejidad del caso.
Colocar un solo implante puede llevar entre 30 y 60 minutos.
En cambio, en rehabilitaciones completas de arcada el procedimiento puede alargarse hasta 2 horas.

Postoperatorio de implantología
Tras la cirugía, el paciente regresa a casa y, si es necesario, el especialista prescribe antibióticos para prevenir infecciones.
Es normal experimentar alguna leve molestia y algo de inflamación cuando pasa el efecto de la anestesia, pero no suele ser motivo de preocupación.
El equipo clínico se encarga de proporcionar todas las pautas necesarias que deben seguirse en materia de higiene bucodental.
El tiempo de recuperación tras la colocación de implantes depende del número de implantes y la complejidad del caso.
En un implante unitario suele ser de 2 a 3 días, mientras que en rehabilitaciones completas puede alargarse hasta una semana, con una mejora progresiva desde el primer día.

Fase de integración ósea
Este proceso, conocido como osteointegración, es clave para garantizar la estabilidad y durabilidad del tratamiento.
Su duración puede variar según el paciente, el tipo de implante utilizado y la zona de la boca intervenida, pero generalmente oscila entre 2 y 4 meses.
En algunos casos, se puede colocar una prótesis provisional para mantener la estética y la función mientras se completa la integración.

Fase protésica de los implantes dentales
Una vez finalizado el periodo de integración del implante en el hueso, comienza la fase protésica.
Esta etapa tiene como objetivo devolver al paciente la funcionalidad y la estética mediante la colocación de la estructura dental definitiva: una corona, un puente o una prótesis completa, según el número de piezas a reemplazar.
Para ello, se toman registros precisos de la boca, ya sea mediante escaneado digital o mediante impresiones tradicionales, que permiten confeccionar una pieza personalizada.
El diseño se adapta a las características del paciente, teniendo en cuenta tanto aspectos funcionales (como la mordida) como estéticos (forma y color de los dientes).
¿Qué tipos de implantes dentales existen?
La implantología dental ha evolucionado notablemente en las últimas décadas gracias a los avances en materiales, diseño y superficies de los implantes, mejorando su eficacia y resultados a largo plazo, aunque sigue siendo un campo en constante investigación y desarrollo (Gaviria et al., 2014) ².
Hoy podemos agrupar los implantes en dos grandes categorías: según el sistema de fijación empleado y según el número de dientes que es necesario reemplazar.
Según el tipo de implante utilizado
Empezamos por los distintos sistemas de fijación, ya que cada uno tiene indicaciones y ventajas concretas. A continuación, los principales:
| Dónde se colocan | ¿Para quién se recomienda? | Ventajas | |
|---|---|---|---|
Implante cigomático
| Dónde se colocan
Hueso del pómulo
| ¿Para quién se recomienda?
Atrofia severa maxilar superior
| Ventajas
Sin injertos. Dientes fijos
|
Implante subperióstico
| Dónde se colocan
Sobre el hueso, bajo la encía
| ¿Para quién se recomienda?
Sin hueso suficiente
| Ventajas
Alternativa fija sin tornillos
|
Implante pterigoideo
| Dónde se colocan
Zona posterior del maxilar
| ¿Para quién se recomienda?
Atrofia posterior maxilar
| Ventajas
Muy estable. Menos invasivo
|
Implante endoóseo
| Dónde se colocan
Dentro del hueso maxilar
| ¿Para quién se recomienda?
Hueso adecuado
| Ventajas
El más común. Seguro y versátil
|

Implantes cigomáticos
Una de las técnicas de implantología más avanzadas y con mejores resultados.
Es una opción especialmente interesante cuando falta hueso en el maxilar superior (atrofia severa), es decir, el paciente no cuenta con suficiente hueso alveolar para colocar los tornillos.
En concreto, esta técnica consiste en el anclaje de los implantes en el hueso del pómulo, el cual suele mantener su calidad y cantidad durante mucho más tiempo.
Por tanto, esta técnica permite mantener dientes fijos incluso en casos de gran deficiencia ósea.

Implantes subperiósticos
También conocidos como implantes yuxta-óseos. Están formados por un marco de metal que se sitúa en el hueso maxilar, es decir, justo debajo de la encía. Poseen la forma precisa para que se fijen correctamente.
Los implantes subperiósticos se indican cuando no hay volumen óseo suficiente para colocar tornillos de titanio o zirconio.
Sin embargo, los implantes subperiósticos cada vez están más en desuso. El motivo es que requieren de cirugías más amplias y presentan con más frecuencia problemas de osteointegración.
Además, requieren tiempos de recuperación mayores, lo que eleva el riesgo de sufrir complicaciones.

Implantes pterigoideos
Se anclan en la región pterigoidea, en la parte posterior del maxilar, y ofrecen alta estabilidad con una técnica menos invasiva y recuperación más rápida.
Al igual que los implantes cigomáticos, son los recomendados para personas con atrofia maxilar severa en la parte superior de la boca.
De hecho, gracias a la cercanía de la región pterigoidea con la articulación temporomandibular, este tipo de implantes ofrecen una estabilidad y un soporte excelentes.
Además, se trata de una técnica más sencilla, lo que conlleva un tiempo de recuperación más corto tras concluir la cirugía.

Implantes endoóseos
Los implantes endoóseos u osteointegrados son los más comunes hoy en día.
Están formados por un tornillo que se coloca quirúrgicamente dentro de la mandíbula y por una corona que se sitúa cuando el proceso de fusión con el hueso ha finalizado.
Generalmente, nuestros especialistas recomiendan los implantes endoóseos a pacientes con prótesis dentales removibles o con puentes.
Además, el tornillo puede colocarse para dar soporte a varios dientes situados de forma consecutiva, lo que ayuda a reducir el precio de los implantes sin perder eficacia.
Según el número de dientes a reemplazar
Por su parte, también podemos diferenciar distintos tipos de tratamientos de implantología en función de la pérdida dental y de cuántas piezas sea necesario restaurar.
| Dientes a reemplazar | Implantes necesarios | Coronas necesarias | Fija o removible | |
|---|---|---|---|---|
Implante unitario
| Dientes a reemplazar
1 diente
| Implantes necesarios
1 implante
| Coronas necesarias
1 corona
| Fija o removible
Fija
|
Puente sobre implantes
| Dientes a reemplazar
3 a 4 dientes consecutivos
| Implantes necesarios
2 a 3 implantes
| Coronas necesarias
3 o 4 coronas
| Fija o removible
Fija
|
Sobredentadura | Dientes a reemplazar
Todos los dientes
| Implantes necesarios
2 a 4 implantes
| Coronas necesarias
No tiene coronas, es una prótesis completa
| Fija o removible
Removible |
Prótesis híbrida
| Dientes a reemplazar
Todos los dientes
| Implantes necesarios
6 implantes
| Coronas necesarias
No tiene coronas, es una prótesis completa | Fija o removible
Fija
|
Prótesis de porcelana
| Dientes a reemplazar
Todos los dientes
| Implantes necesarios
6 a 8 implantes
| Coronas necesarias
12 o 14 coronas por arcada
| Fija o removible
Fija
|
En función de las piezas dentales ausentes, existen diferentes soluciones implantológicas: desde una corona unitaria hasta rehabilitaciones parciales o completas con prótesis fijas o removibles.

Corona sobre implante
Descubre los distintos tipos de coronas que se fijan a los implantes dentales y cómo ayudan a recuperar estética y función.

Implante dental unitario
Sustituye un solo diente perdido mediante un implante que actúa como raíz y una corona que imita el diente natural.

Puente con implantes
Indicado cuando se han perdido varios dientes consecutivos, este tratamiento permite restaurar función y estética sin afectar a piezas sanas.

Sobredentadura sobre implantes
Se apoya sobre implantes y puede retirarse para facilitar su limpieza, a diferencia de las prótesis fijas.

Prótesis híbrida sobre implantes
Combina estructura metálica con dientes de resina, logrando una rehabilitación fija más económica.

Prótesis dental fija de porcelana sobre implantes
Solución fija para rehabilitar una arcada completa con gran estética y estabilidad.
Tratamientos complementarios en implantología
Según el caso, pueden requerirse tratamientos previos para colocar los implantes con todas las garantías.

Extracción dental
En algunos casos es necesario retirar una pieza dañada o sin posibilidad de salvarse antes de colocar implantes dentales.

Elevación de seno maxilar
Cuando no hay altura ósea suficiente en el maxilar superior, esta técnica permite ganar volumen para fijar implantes.

Injerto de hueso dental
El injerto permite recuperar volumen óseo cuando se ha perdido con el tiempo, creando una base firme para el implante.

Expansión ósea
Si el hueso es demasiado estrecho para colocar implantes dentales, puede expandirse con una técnica específica.


Sedación consciente
Permite controlar la ansiedad y el miedo en pacientes con tratamientos complejos, haciendo la intervención más cómoda y segura.

¿Cuándo recurrir a los implantes dentales?
La implantología dental es la técnica más utilizada para corregir la ausencia de dientes, ya sea de un determinado número de piezas o de la totalidad de la arcada superior y/o inferior.
Por un lado, permite restaurar la estética de la sonrisa con total naturalidad.
Por otro, brinda la posibilidad de solucionar los problemas a la hora de morder y masticar derivados de la falta de dientes.

Diagnóstico completo para implantes dentales.
- TAC dental: precio habitual 120 € → 0 €
- Valoración con el implantólogo
- Plan de tratamiento adaptado a tu caso
Promoción válida para los primeros 20 pacientes durante el mes de .
Precios de los implantes dentales
En nuestra clínica utilizamos implantes de titanio de la más alta calidad. Principalmente trabajamos con tres marcas:
¿Cuál es la mejor marca de implantes?
Todas son de reconocido prestigio en la odontología. Straumann y Nobel Biocare tiene un precio más elevado al ser marcas de implantes con muchos años de reputación. JDentalCare es muy buen fabricante y algo más económico.
| Precio | |
|---|---|
Implante dental JDentalCare | Precio 380 € |
Implante dental Nobel Biocare | Precio 530 € |
Implante dental Straumann | Precio 530 € |
Nota importante sobre el precio de los implantes dentales en nuestra clínica en Madrid.
Las tarifas que se muestran en esta sección son orientativas, ya que es necesaria una valoración previa por parte de nuestros dentistas para confirmar el tratamiento y, en su caso, la necesidad de procedimientos complementarios.
En Clínica Dental Medics Dr. Ferrer trabajamos con presupuestos claros y detallados, que se explican al paciente antes de iniciar cualquier tratamiento.
El precio mostrado corresponde únicamente al implante dental de titanio (el “tornillo” que sustituye la raíz del diente).
Si quieres conocer todos los costes que intervienen en un tratamiento completo, en cada sección de nuestra web puedes consultar el precio de cada técnica o componente protésico que pueda ser necesario según tu caso.
Te recomendamos leer nuestro artículo sobre el precio final de un implante dental con todo incluido donde explicamos cada uno de ellos y su coste.
Puedes enviar tu radiografía o presupuesto dental y te indicaremos un presupuesto orientativo según nuestras tarifas, que confirmaremos tras valorarte en clínica.

Garantía de nuestros implantes dentales
En nuestra clínica dental, todos los implantes que colocamos están garantizados, independientemente de la marca de implantes elegida para el tratamiento.
Garantizamos la osteointegración (unión entre el hueso y el implante).
En caso de rechazo del implante, este será repuesto, siempre que el paciente haya acudido a las revisiones del tratamiento y a los controles de mantenimiento anuales indicados por el doctor.
A continuación te explicamos de forma clara y transparente las condiciones de la garantía de nuestros implantes dentales.
Si en algún momento se produjera un rechazo del implante, la clínica asume sin coste para el paciente:
- La retirada del implante (explantación quirúrgica).
- La cirugía de colocación del nuevo implante.
- El nuevo implante de sustitución, de la misma marca.
En el caso de las prótesis fijas sobre implantes, estas cuentan con una garantía de 2 años frente a posibles defectos de fabricación que impidan su correcto funcionamiento.
- Acudir a todas las revisiones programadas durante el tratamiento con nuestros odontólogos.
- Realizar las revisiones de mantenimiento y el seguimiento anual en nuestra clínica tras finalizar el tratamiento.
- Estas revisiones son esenciales para comprobar que todo evoluciona bien, detectar problemas a tiempo y asegurar la salud de tus implantes a largo plazo.
- Las prótesis removibles ni otros elementos protésicos como coronas o puentes afectados por el rechazo del implante.
- En el caso de las prótesis fijas sobre implantes, la garantía cubre solo defectos de fabricación durante 2 años, siempre que no haya habido mal uso o manipulación externa.
- Si fuese necesario rehacer alguno de estos componentes, el coste correrá a cargo del paciente, ya que son trabajos personalizados de laboratorio.
- No se incluyen otras intervenciones adicionales que puedan ser necesarias, como regeneraciones de hueso u otros tratamientos previos o complementarios a los implantes.
- Tampoco cubre casos de manipulación por terceros, roturas por accidentes o uso inadecuado (por ejemplo, morder alimentos muy duros como frutos secos, huesos o marisco de concha) ni la pérdida de implantes por enfermedades sistémicas (osteoporosis, periodontitis, etc.).
No. La garantía no contempla la devolución del dinero. Desde el inicio del tratamiento se generan costes clínicos y de laboratorio que no se pueden reembolsar (diagnóstico, planificación, pruebas, cirugía, materiales específicos y trabajo de laboratorio).
Por eso, aunque no esté prevista la devolución del importe ya abonado, sí garantizamos la reposición del implante y, en su caso, la reparación de la prótesis fija dentro del plazo de garantía, siempre que se cumplan las condiciones necesarias.
- Quedan excluidos de la garantía aquellos tratamientos cuyo resultado pueda ser impredecible o dudoso, y que el paciente, aun habiendo sido debidamente informado, decide realizar asumiendo ese riesgo.
- La garantía solo será válida en tratamientos que hayan sido abonados en su totalidad.
Sí. Las revisiones que se realizan durante el tratamiento de implantes (por ejemplo, control tras la colocación del implante, revisiones de cicatrización o toma de medidas) están incluidas en el tratamiento y no tienen coste adicional.
Una vez finalizado el tratamiento, para mantener la garantía es necesario realizar revisiones de mantenimiento anuales en la clínica, que sí tienen coste. El importe puede variar según el caso (número de implantes, tipo de prótesis o mantenimiento necesario).

Solicita tu presupuesto dental online de implantes dentales de forma rápida y segura.

Consulta los precios de los principales tratamientos dentales de nuestra clínica en Madrid.

Facilitamos el pago de tu tratamiento con planes de financiación sin intereses y cuotas personalizadas.
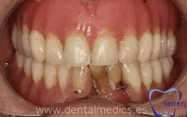
Antes y después implantes dentales
Los pacientes que realizan un tratamiento de implantología dental suelen experimentar una clara mejora en la estética de su sonrisa.


Lo que debes saber antes de un tratamiento con implantes dentales
Puede que, a falta de lo que te digan nuestros especialistas, ya tengas claro que los implantes son la solución para tu problema de pérdida de piezas dentales.
Sin embargo, tal vez te ronden por la cabeza algunas dudas al respecto. Aquí vamos a tratar de resolverlas.
¿Puedo colocarme un implante de otra marca?
Sí. Aunque en nuestra clínica trabajamos principalmente con JDentalCare y Nobel Biocare, por su fiabilidad y resultados contrastados, no existe ningún inconveniente en utilizar implantes de otras marcas si el paciente así lo desea.
Si prefieres una marca concreta, como Straumann o BTI, podemos solicitarla expresamente y te informaremos del precio correspondiente durante la valoración, para que puedas tomar la decisión con total transparencia.
¿Cuánto dura el proceso de colocación del implante dental?
Depende de varios factores, como la presencia de determinadas enfermedades (diabetes o hipertensión, por ejemplo) y si existe atrofia maxilar.
En cualquier caso, lo normal es que el proceso se demore entre dos y cuatro meses, en función del tiempo que tarde en completarse la osteointegración del tornillo de zirconio o titanio en el hueso.
Ese período de tiempo es el que transcurrirá entre la colocación de los implantes, la cual se realiza en unos pocos minutos u horas (según el número), y la fijación de las prótesis definitivas.
¿Los implantes dentales son dolorosos?
No. Durante la cirugía no sentirás dolor gracias a la anestesia local y, si se precisa, sedación consciente.
Tras la intervención pueden aparecer leves molestias que desaparecen en pocos días.
También es posible notar cierta incomodidad al colocar las coronas definitivas, pero remite rápidamente.
¿Qué cuidados exigen los implantes dentales?
Es imprescindible que, una vez colocados los implantes, evites el consumo de tabaco y otras sustancias perjudiciales como el alcohol, ya que elevan notablemente el riesgo de rechazo.
Además, deberás tomar antibióticos durante algunos días para prevenir infecciones.
Por su parte, una vez que te coloquemos las prótesis definitivas, deberás cuidar al máximo tu higiene dental.
Principalmente, cepillando tus dientes después de cada comida y retirando los restos que hayan podido quedar mediante el uso de cepillos interproximales y seda dental.
Por lo demás, podrás hacer una vida completamente normal.
¿Cuánto duran los implantes dentales?
Los implantes pueden durar muchos años, e incluso toda la vida si la osteointegración es correcta, se mantienen buenos hábitos de higiene y no se producen traumatismos en la zona.
La durabilidad de los implantes depende de múltiples factores: la calidad del hueso, el diseño del implante, los hábitos del paciente y la técnica quirúrgica empleada.
En este sentido, la literatura científica señala que, aunque estos parámetros están bien establecidos, es necesario seguir investigando para entender mejor su interacción y optimizar los resultados a largo plazo mediante nuevos biomateriales y tratamientos de superficie (Gaviria et al., 2014)² .
Referencias bibliográficas
¹ Gupta, R.; Gupta, N.; Weber, K. K. (2023). Dental Implants. En: StatPearls [Internet]. Treasure Island (FL): StatPearls Publishing; actualizado el 8 de agosto de 2023.
Disponible en NCBI Bookshelf – StatPearls² Gaviria, L., Salcido, J. P., Guda, T., & Ong, J. L. (2014). Current trends in dental implants. Journal of the Korean Association of Oral and Maxillofacial Surgeons, 40(2), 50–60.
PDF completo (PubMed Central – NCBI/NIH)Especialistas en implantes dentales en Madrid
En Clínica Dental Medics Dr. Ferrer contamos con más de cuatro décadas de experiencia en implantología dental en el barrio de Chamberí (Madrid).
A lo largo de estos años hemos planificado y realizado miles de tratamientos con implantes dentales, aplicando criterios clínicos rigurosos y técnicas contrastadas.
Nuestro objetivo es restaurar la función, la estética y la salud oral de cada paciente con soluciones seguras y duraderas.
Nuestro equipo
Nuestra clínica, de carácter familiar, cuenta con un equipo de especialistas en implantes dentales en Madrid.
¿Dónde estamos?
Horario
Lunes a Viernes:
10:00 a 20:00
¿Cómo llegar?
Metro: Muy próximas a las estaciones de metro de Cuatro Caminos y Ríos Rosas.
Autobús: L12 en Cea Bermúdez – Gaztambide. L44 y N21 en San Francisco de Sales – Plaza de Cristo Rey. C1 en Isaac Peral – Hospital Clínico.
¿Dónde aparcar?
La clínica se encuentra en una zona de aparcamiento regulado (verde y azul), junto a las instalaciones deportivas de Golf Canal, donde suele ser sencillo encontrar plaza cerca.
Parking más cercano: Si lo prefieres, también dispones del Parking privado Azafata, a pocos minutos a pie.

También puedes realizar tu tratamiento de implantes dentales en Murcia en nuestra clínica, donde aplicamos los mismos protocolos médicos, el mismo equipo especializado y la misma experiencia clínica que nos avala desde hace décadas en Madrid.
Haz clic en “Calcular Ruta” para saber cómo llegar a nuestra clínica dental en Madrid desde tu ubicación.
Opiniones de implantes dentales
Si quieres conocer de primera mano la calidad de nuestros tratamientos de implantología dental, puedes consultar las opiniones que nuestros pacientes han compartido en Google.
Valoración gratuita de implantes dentales en Madrid
Conoce más sobre los implantes dentales
A continuación encontrarás artículos relacionados que te ayudarán a profundizar en estos tratamientos para sustituir dientes perdidos.









