
Muchos pacientes se preguntan si el sellado dental es realmente necesario, sin embargo, este tratamiento ayuda a prevenir la aparición de caries en las zonas más vulnerables de las muelas.

El precio de un sellado dental en Madrid varía según si se aplican en dientes permanentes o temporales, pero en ambos casos es un tratamiento preventivo económico y muy eficaz contra la caries.

Cuando no se aplican sellados dentales, las bacterias pueden acumularse en las fisuras de las muelas, favoreciendo la aparición de caries y molestias que podrían prevenirse con un tratamiento sencillo y preventivo.

¿Qué es el sellado dental?
El sellado dental es la aplicación de un recubrimiento de resina sobre la superficie de los dientes para evitar la aparición de caries.
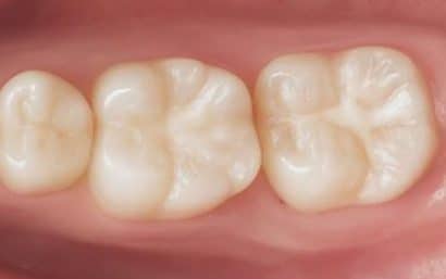
La técnica del sellado dental se aplica, principalmente, sobre los molares, es decir, sobre las piezas dentales más posteriores.
Estas piezas presentan una superficie irregular que, en muchos casos, incluye fosas y fisuras marcadas.
Esto hace que sean especialmente propensas a acumular restos de alimentos y bacterias que provocan caries.
Los sellados dentales son especialmente útiles en situaciones en las que no siempre es posible acudir al dentista, ya que ayudan a prevenir la caries de forma sencilla y duradera.” (Alemán et al., 2016) ¹.
¿En qué consiste el sellado dental?
Nuestros odontólogos realizan la técnica de sellado dental tanto en niños como en adultos con especial riesgo de sufrir caries. En concreto, el proceso consta de las siguientes fases:
- Limpieza y secado: el odontólogo se encarga de retirar cualquier resto de comida, suciedad o placa bacteriana de la pieza.
- Aplicación del gel ácido: su función es la de crear microporosidades en el esmalte del diente, las cuales se encargarán de generar una mejor fijación al aplicar el sellador dental.
- Aplicación del gel sellador: el gel ácido tarda unos segundos en hacer efecto. Una vez secado el diente, se pone el sellador dental.
- Endurecimiento: para ello, nuestros odontólogos emplean una luz azul de polimerizado que incrementa la resistencia del sellador hasta hacerla similar a la del propio esmalte.

Sellado dental para niños
La técnica del sellado dental es especialmente recomendable en niños. Por un lado, porque suelen presentar hábitos de higiene bucodental menos constantes que los adultos.
Además, puede contribuir a reducir la necesidad de tratamientos restauradores más complejos a largo plazo.
Nuestros odontólogos recomiendan poner sellador dental sobre los molares definitivos de los niños en cuanto aparecen. Habitualmente, esto sucede entre los 6 y los 12 años.
La aplicación de esta resina contribuye a reducir de forma significativa el riesgo de caries en los primeros años y a largo plazo.
El uso correcto del sellado de fosetas y fisuras en dientes es altamente eficaz para prevenir la caries y conservar las piezas dentales a largo plazo, siempre que se realicen controles periódicos y reemplazos cuando sea necesario (Bautista Almaraz et al., 2024) ².
Precio del sellado dental
En la Clínica Dental Medics Dr. Ferrer ofrecemos tratamientos de sellado dental tanto en dientes permanentes como temporales, con el objetivo de prevenir la aparición de caries desde edades tempranas.
| Precio | |
|---|---|
Sellado en diente permanente | Precio 50 € |
Sellado en diente temporal | Precio 40 € |
Nota importante sobre el precio del sellado dental en nuestra clínica en Madrid.
Las tarifas que se muestran en esta sección son orientativas, ya que es necesaria una valoración previa por parte de nuestros dentistas para confirmar el tratamiento y, en su caso, la necesidad de procedimientos complementarios.
En Clínica Dental Medics Dr. Ferrer trabajamos con presupuestos claros y detallados, que se explican al paciente antes de iniciar cualquier tratamiento.

Solicita un presupuesto para un sellado dental en nuestra clínica en Madrid.

Revisa los precios habituales de los tratamientos dentales disponibles en nuestra clínica.

Conoce los tratamientos dentales que realizamos en nuestra clínica de Madrid.
Qué debes saber antes de recurrir a un sellado dental
Antes de realizar un sellado dental, muchos padres tienen dudas sobre cuándo es el mejor momento para aplicarlo, cuánto dura o si es un tratamiento necesario para sus hijos.
Aquí respondemos las preguntas más frecuentes.
¿A partir de qué edad puedo usar sellador dental?
Desde el momento en que erupcionan los primeros molares definitivos, lo cual suele suceder a los seis años de edad.
Tanto los niños como los adultos pueden disfrutar de los beneficios de un sellador dental, ya que no tienen efectos secundarios más allá de posibles alergias al material.
El sellado de fosas y fisuras es un método preventivo que puede beneficiar a cualquier paciente que los necesite; su indicación se basa en el riesgo de caries y no en la edad del individuo.” (Tiol-Carrillo, 2024)³.
¿El sellado dental es doloroso?
No. Al no ser necesario limar el esmalte ni realizar técnicas invasivas, el tratamiento no requiere el uso de anestesia.
¿Cuánto dura el sellado dental?
La vida útil del sellador dental es similar a la de un empaste. De hecho, lo normal es que permanezca en perfecto estado durante 5-8 años, aunque todo depende de los hábitos de higiene bucodental que mantengas.
En cualquier caso, durante las revisiones periódicas (una o dos veces al año, según cada caso), el odontólogo evaluará el sellado y determinará si es necesario realizar una reposición.
¿Qué debo hacer tras el tratamiento de sellado dental?
No hace falta que tengas ningún cuidado especial cuando salgas de nuestra clínica, más allá de mantener la mejor higiene bucodental posible. En este sentido, podrás masticar y beber sin problemas desde el primer momento.
Referencias bibliográficas
¹ Alemàn, MC; Rodriguez-Lopez, IC; Salablanca-Morales, YP (2016, Abril) “Evaluación de la efectividad de selladores dentales aplicados con la técnica restaurativa atraumática en los primeros molares permanentes a escolares del distrito VI de Managua” Universidad Nacional Autónoma de Nicaragua Facultad de Ciencias Médicas
Artículo completo en Repositorio Institucional de la UNAN² Bautista-Almaraz, A; Monroy-Islas, A; Gómez-Juárez, B; Vertiz-Marín, L (2024, Junio) “Selladores de fosetas y fisuras en pacientes con HIM” Educación y Salud Boletín Científico Instituto de Ciencias de la Salud Universidad Autónoma del Estado de Hidalgo
Artículo completo en Research Gate³ Tiol-Carrilo, A (2024) “Indicaciones y contraindicaciones de los selladores de fosas y fisuras en pacientes adultos” Revista ADM 81 (2): 91-94
Pdf en MedigraphicEspecialistas en sellados dentales en Madrid
La Clínica Dental Medics Dr. Ferrer lleva más de tres décadas en el barrio de Chamberí, Madrid.
A lo largo de todo este tiempo, hemos ayudado a miles de personas a prevenir la caries mediante el tratamiento de sellado dental.
Ponte en contacto con nosotros y solicita una valoración personalizada, gratuita y sin compromiso en nuestra clínica.
Nuestro equipo
Nuestra clínica mantiene un marcado carácter familiar desde sus inicios. Estos son los expertos en sellado dental que forman parte de nuestro equipo y que serán los responsables de atenderte.
¿Dónde estamos?
Horario
Lunes a Viernes:
10:00 a 20:00
¿Cómo llegar?
Metro: Muy próximas a las estaciones de metro de Cuatro Caminos y Ríos Rosas.
Autobús: L12 en Cea Bermúdez – Gaztambide. L44 y N21 en San Francisco de Sales – Plaza de Cristo Rey. C1 en Isaac Peral – Hospital Clínico.
¿Dónde aparcar?
La clínica se encuentra en una zona de aparcamiento regulado (verde y azul), junto a las instalaciones deportivas de Golf Canal, donde suele ser sencillo encontrar plaza cerca.
Parking más cercano: Si lo prefieres, también dispones del Parking privado Azafata, a pocos minutos a pie.

Además, también contamos con una clínica dental en Murcia. Así que, si vives en esta ciudad o está más cerca de tu lugar de residencia, puedes acudir a ella y realizarte el tratamiento.
Haz clic en “Calcular Ruta” para saber cómo llegar a nuestra clínica dental en Madrid desde tu ubicación.






