
Aunque es una cirugía segura, te explicamos qué complicaciones pueden surgir y cómo las evitamos con un enfoque clínico preciso y controlado.

Ofrecemos un precio cerrado, claro y sin sorpresas. Te explicamos cómo calcularlo y qué incluye exactamente para que tomes la mejor decisión.

La cirugía es indolora gracias a la anestesia local. El postoperatorio suele ser leve. Te explicamos qué molestias pueden aparecer y cómo se manejan.
¿Qué es la elevación de seno maxilar para implantes dentales?
La elevación del seno maxilar es una técnica quirúrgica que se utiliza cuando no hay suficiente hueso en la parte posterior del maxilar superior, justo encima de los molares, para colocar un implante dental de forma segura.
Es una cirugía habitual y segura que normalmente se realiza con anestesia local.
Se realiza de forma ambulatoria, sin necesidad de ingreso hospitalario.
Es una técnica habitual dentro de la implantología avanzada, requiere gran precisión, ya que se trabaja cerca del seno maxilar, una cavidad situada encima de las muelas superiores.
No todos los pacientes necesitan este procedimiento. Solo se indica cuando, tras analizar las radiografías o un TAC dental, se confirma que no hay altura ósea suficiente para colocar el implante con estabilidad.
Gracias a esta técnica, muchos pacientes que antes no podían colocarse implantes por falta de hueso ahora sí pueden hacerlo con garantías.
Un estudio clínico con más de 70 pacientes demostró que la elevación del seno maxilar permitió rehabilitar el maxilar posterior con implantes dentales con una tasa de éxito del 98,4% tras más de 4 años de seguimiento, lo que la convierte en una opción segura y predecible (Jiménez Guerra et al., 2015) ¹.
¿En qué consiste la elevación de seno maxilar?
En esta sección te explicamos paso a paso en qué consiste la elevación del seno maxilar: desde cómo se accede al seno, cómo se eleva la membrana y se coloca el injerto óseo, hasta el cierre de la zona y, si es posible, la colocación del implante dental en la misma intervención.
La intervención suele durar entre 45 y 90 minutos, dependiendo de la complejidad del caso
En algunos casos, se emplea plasma rico en factores de crecimiento, para favorecer la formación y maduración del hueso a largo plazo (Hernández Tejeda et al., 2014)².

Acceso quirúrgico al seno maxilar
El procedimiento comienza con un diagnóstico por tomografía computarizada (CBCT), que permite valorar el estado del seno maxilar y planificar la cirugía con precisión.
Tras aplicar anestesia local, se realiza una pequeña incisión en la encía y se levanta el tejido para exponer el hueso.
Después, se abre una pequeña ventana en el lateral del hueso maxilar, en la zona donde falta altura ósea. Esta apertura, conocida como “ventana lateral”, permite ver y acceder al seno con claridad.
Este acceso controlado permite al cirujano trabajar con mayor seguridad en las siguientes fases del tratamiento.

Elevación de la membrana sinusal
A través de la ventana lateral se accede al interior del seno maxilar. Con instrumentos específicos y mucho cuidado, se eleva la membrana sinusal (también llamada membrana de Schneider), que recubre internamente la cavidad.
Este paso permite crear el espacio necesario para el injerto óseo, esencial para formar nuevo hueso.
La integridad de la membrana es clave para el éxito del procedimiento. Por eso, esta fase requiere experiencia y precisión, ya que cualquier perforación puede afectar al resultado.

Colocación del material de injerto óseo
Una vez elevada la membrana, se introduce en el espacio un injerto óseo biocompatible, como el hueso liofilizado, que favorece la formación de nuevo hueso de manera segura y eficaz.
Este injerto actúa como una estructura guía, estimulando al cuerpo a regenerar hueso de forma natural, sin implantar un sustituto artificial.
Con el tiempo, el material se integra con el hueso existente, formando una base firme y estable para los implantes.
Gracias a estos biomateriales, se evitan cirugías más invasivas y se logra una recuperación más cómoda y predecible.

Cierre de la ventana lateral con membrana
Para proteger la zona tratada y favorecer la cicatrización, se coloca una membrana reabsorbible.
Esta membrana actúa como una barrera temporal, evitando que los tejidos blandos invadan el espacio donde debe regenerarse el hueso.
Al ser reabsorbible, no es necesario retirarla, ya que el propio cuerpo la descompone de forma natural.
Después, se recoloca la encía y se realiza una sutura precisa, cerrando la zona para una correcta curación.
Este paso mejora la estabilidad del hueso nuevo y reduce el riesgo de complicaciones.

Colocación del implante dental
En muchos casos, el implante dental puede colocarse el mismo día que se realiza la elevación del seno maxilar, siempre que exista una buena estabilidad primaria y suficiente hueso residual.
Si estas condiciones no se cumplen, será necesario esperar entre 4 y 6 meses a que el injerto se integre completamente y se forme nuevo hueso.
La elección entre realizar la colocación inmediata o en dos fases dependerá de factores como la cantidad y calidad ósea, el tipo de injerto utilizado y el estado general del paciente.
¿Qué tipos de elevación de seno maxilar existen?
Existen distintas técnicas de elevación de seno maxilar en función de la cantidad de hueso disponible y del tipo de intervención necesaria.
| Cuándo se usa | Ventajas | Invasividad | |
|---|---|---|---|
Ventana lateral
| Cuándo se usa
Menos de 5 mm de hueso
| Ventajas
Aporta más hueso
| Invasividad
Alta
|
Técnica cerrada
| Cuándo se usa
6–9 mm de hueso
| Ventajas
Acceso más reducido, más rápida
| Invasividad
Media
|
Transcrestal guiada
| Cuándo se usa
Hueso medio
| Ventajas
Muy precisa, con menos molestias
| Invasividad
Baja
|
Con balón o presión
| Cuándo se usa
Hueso suficiente
| Ventajas
Elevación controlada y segura
| Invasividad
Muy baja
|
La técnica de ventana lateral sigue siendo la más utilizada cuando hay muy poco hueso y se necesita un acceso amplio al seno. Está respaldada por resultados clínicos sólidos (Bustillo et al., 2017) ³.
También existen técnicas más modernas y menos invasivas, como la cerrada, la transcrestal o la hidrostática, que permiten adaptar el procedimiento a cada paciente.

Elevación por ventana lateral (técnica abierta)
Se accede al seno maxilar creando una pequeña abertura en el lateral del hueso (llamada “ventana lateral”).
A través de ella, se eleva cuidadosamente la membrana sinusal y se coloca el material de injerto óseo en el espacio creado.
Se realiza cuando hay menos de 5 mm de altura ósea y se necesita generar una mayor cantidad de hueso para colocar implantes con seguridad.

Elevación por técnica cerrada (o técnica de osteótomos)
No se realiza una abertura lateral. En su lugar, se accede al seno desde el mismo punto donde se colocará el implante, utilizando instrumentos específicos para levantar la membrana con suavidad.
Se realiza cuando hay entre 6 y 9 mm de altura ósea y se requiere un aumento moderado.
Es una técnica menos invasiva que la ventana lateral y permite una recuperación más rápida.

Elevación transcrestal mínimamente invasiva (guiada)
Consiste en una técnica moderna realizada con cirugía digital guiada, que permite elevar la membrana sin abrir el lateral del hueso.
El procedimiento es preciso, rápido y menos traumático.
Se realiza cuando hay una cantidad media de hueso y el caso permite una intervención rápida, precisa y menos traumática.

Técnica con balón hidrostático o dispositivos neumáticos
Consiste en introducir un balón o sistema neumático que se infla suavemente con suero o aire para elevar la membrana sin dañarla.
Se realiza cuando hay una altura ósea moderada y se necesita una técnica precisa y con menor riesgo de perforación.
Esta técnica permite una elevación controlada y progresiva del seno maxilar, reduciendo el trauma quirúrgico y favoreciendo una recuperación más rápida del paciente.
¿Cuándo recurrir a una elevación de seno maxilar?
La elevación del seno maxilar se indica cuando no hay suficiente hueso en la zona posterior del maxilar superior (molares y premolares) para colocar un implante de forma segura y estable.
Las principales causas de esta pérdida de hueso son:
- Reabsorción ósea tras la pérdida de una pieza dental.
- Uso prolongado de prótesis removibles.
- Anatomía del seno maxilar que deja poco espacio óseo disponible.
La mejor manera de detectar esta situación es mediante una valoración con imágenes en 3D, que permiten medir con precisión la cantidad de hueso.
Aunque no presentes síntomas, este estudio es clave para planificar el tratamiento con implantes dentales y garantizar su éxito.

Diagnóstico completo para implantes dentales.
- TAC dental: precio habitual 120 € → 0 €
- Valoración con el implantólogo
- Plan de tratamiento adaptado a tu caso
Promoción válida para los primeros 20 pacientes durante el mes de .
Precios de la elevación de seno maxilar
El coste de este tratamiento depende de si se realiza en un solo lado o en ambos, y de si es necesario utilizar materiales adicionales como la membrana reabsorbible.
| Precio | |
|---|---|
Elevación de seno maxilar unilateral
| Precio 360 € |
Elevación de seno maxilar bilateral | Precio 720 € |
Membrana | Precio 260 € |
Nota importante sobre el precio de la elevación de seno maxilar en nuestra clínica en Madrid.
Las tarifas que se muestran en esta sección son orientativas, ya que es necesaria una valoración previa por parte de nuestros dentistas para confirmar el tratamiento y, en su caso, la necesidad de procedimientos complementarios.
En Clínica Dental Medics Dr. Ferrer trabajamos con presupuestos claros y detallados, que se explican al paciente antes de iniciar cualquier tratamiento.
El precio indicado corresponde únicamente a la técnica de elevación de seno maxilar.
Si quieres conocer todos los costes que intervienen en un tratamiento completo, en cada sección de nuestra web puedes consultar el precio de cada técnica o componente protésico que pueda ser necesario según tu caso.
Te recomendamos leer nuestro artículo sobre el precio final de un implante dental con todo incluido donde explicamos cada uno de ellos y su coste.
Puedes enviar tu radiografía o presupuesto dental y te indicaremos un presupuesto orientativo según nuestras tarifas, que confirmaremos tras valorarte en clínica.


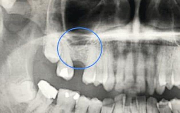
Antes y después de una elevación de seno maxilar
En estas imágenes puedes ver el antes y después de una elevación de seno maxilar realizada en nuestra clínica.
En la primera radiografía se observa la falta de hueso en la zona posterior del maxilar superior. En la segunda imagen, ya regenerada, se aprecia el implante dental correctamente integrado.


Preguntas frecuentes de la elevación de seno maxilar
Si estás pensando en realizarte una elevación de seno maxilar, es normal que tengas dudas sobre el procedimiento, los riesgos, el postoperatorio o si vas a sentir dolor.
En esta sección respondemos con claridad las preguntas más frecuentes que nos plantean nuestros pacientes, para ayudarte a tomar una decisión con tranquilidad y confianza.
¿Cuáles son las contraindicaciones?
La elevación del seno maxilar no está indicada en todos los casos. Algunas de las situaciones en las que este tratamiento puede no ser recomendable son:
- Infecciones activas en la zona, como una sinusitis no tratada.
- Enfermedades sistémicas sin controlar, como diabetes o hipertensión severa.
- Trastornos de coagulación o tratamientos anticoagulantes sin seguimiento médico.
- Tabaquismo activo, que aumenta el riesgo de complicaciones.
- Volumen óseo extremadamente reducido, que impide un abordaje seguro.
- Mala higiene oral o enfermedades periodontales activas.
En cualquier caso, el dentista evaluará tu situación de forma personalizada, apoyándose en estudios radiológicos y tu historial médico.
¿Cuáles son los efectos secundarios?
Como en cualquier intervención quirúrgica, la elevación del seno maxilar puede provocar algunos efectos secundarios leves durante los primeros días. Son normales y suelen desaparecer por sí solos con el paso del tiempo.
Los más habituales son:
- Inflamación leve en la zona tratada.
- Pequeños hematomas en la encía o la mejilla.
- Sangrado leve en las primeras horas tras la cirugía.
- Sensación de presión o congestión nasal.
- Molestias moderadas, controlables con analgésicos.
- Pérdida de sensibilidad temporal en zonas cercanas, en algunos casos.
Todos estos efectos son transitorios y, si sigues las instrucciones del profesional, lo habitual es una recuperación rápida y sin complicaciones.
¿Cuáles son las complicaciones?
Aunque se trata de una cirugía segura, en algunos casos pueden surgir complicaciones. Las más comunes son:
- Pequeñas roturas en la membrana sinusal.
- Inflamación del seno (sinusitis).
- Fístula (comunicación entre la boca y el seno).
- Infección o rechazo del injerto.
Estas situaciones son poco frecuentes y, si se presentan, pueden resolverse con un tratamiento adecuado y seguimiento profesional.
¿Qué pasa si se rompe la membrana del seno maxilar?
La membrana de Schneider es una fina capa que recubre el interior del seno maxilar.
Durante la cirugía puede producirse una pequeña rotura, pero esto no suele conllevar complicaciones graves.
Si la perforación es leve, el dentista puede repararla en el mismo acto quirúrgico, colocando una membrana reabsorbible que protege el injerto.
En casos más complejos, se puede aplazar la colocación del injerto o del implante hasta que la zona cicatrice por completo.
Lo más importante es que se trata de una situación poco frecuente, y que un equipo experimentado sabe cómo gestionarla de forma segura.
¿Duele la elevación del seno maxilar?
No. La intervención se realiza con anestesia local, por lo que el paciente no siente dolor durante la cirugía.
Tras la operación, es habitual notar una ligera inflamación o molestia, que se controla fácilmente con la medicación prescrita.
¿Es necesario usar membrana reabsorbible en todos los casos?
No siempre. Su uso depende del estado de la membrana del seno y del tipo de injerto. El especialista valorará si es necesario colocarla para proteger el injerto y asegurar una buena cicatrización.
¿Cómo es el postoperatorio?
El postoperatorio de una elevación de seno maxilar suele ser tranquilo. Es habitual que aparezca una ligera inflamación durante los primeros días, acompañada en algunos casos de hematoma leve o una sensación de congestión nasal.
El hematoma, si aparece, suele durar entre 5 y 10 días y no es motivo de preocupación.
La recuperación total puede variar según el caso, pero generalmente se considera que a los 10-15 días el paciente está prácticamente recuperado, aunque el proceso de cicatrización interna continúa durante más tiempo.
Cuidados tras una elevación de seno maxilar
- No sonarse la nariz. Si aparece moquillo, secar suavemente con un pañuelo.
- Si estornudas, hazlo por la boca. No te tapes la nariz.
- No debes coger aviones, bucear o inflar globos durante al menos 15 días.
- Aplicar hielo de forma intermitente (máximo 10 minutos cada vez) durante las primeras 24 horas.
- Mantener una dieta líquida, blanda y fría el día de la cirugía.
- No escupir ni enjuagarse el mismo día.
- No fumar ni beber alcohol.
- Dormir con la cabeza incorporada, usando dos almohadas.
- Evitar hacer esfuerzos físicos o agacharse con la cabeza hacia abajo.
¿Podré ir a trabajar?
En la mayoría de los casos, el paciente puede reincorporarse al trabajo al día siguiente, siempre que su actividad no requiera esfuerzo físico.
Hay que tener en cuenta también la posible aparición de un hematoma facial, que aunque no duele, puede resultar llamativo a nivel estético.
¿Puedo hacer ejercicio o ir al gimnasio?
Después de una elevación de seno maxilar, se debe evitar cualquier esfuerzo físico durante al menos los primeros 7 días, ya que puede aumentar la presión en la zona intervenida.
Esto incluye ejercicio intenso, cargar peso o actividades como correr, nadar o ir al gimnasio.
A partir de la segunda semana, si no hay complicaciones, puede retomarse la actividad física de forma progresiva.
Referencias bibliográficas
¹ Jiménez Guerra, Antonio; Monsalve Guil, Luis; Ortiz García, Irene; España López, Álvaro; Segura Egea, Juan José; Velasco Ortega, Emilio (2015).
“La elevación del seno maxilar en el tratamiento con implantes dentales. Un estudio a 4 años”.
² Hernández-Tejada, N; López-Buendía, M (2013, Septiembre) “Elevación de seno maxilar y colocación simultánea de implantes utilizando plasma rico en factores de crecimiento (PRFC), hidroxiapatita y aloinjerto. Reporte de un caso de siete años”
Artículo completo en Elsevier / Rev. Odont. Mex.³ Bustillo, D; Zuloaga, M (2017, ) “Elevación de piso de seno maxilar con técnica de ventana lateral y colocación simultánea de implantes: reporte de un caso”
Artículo completo en la Revista Clínica de Periodoncia, Implantología y Rehabilitación OralEspecialistas en elevación de seno maxilar en Madrid
En la Clínica dental medics Dr. Ferrer somos especialistas en elevación de seno maxilar y técnicas de regeneración ósea avanzada.
Contamos con un equipo con amplia experiencia en implantología y llevamos años ayudando a pacientes que necesitan aumentar el volumen óseo para poder colocarse implantes dentales con total seguridad.
Cada caso se estudia con radiología 3D de alta precisión, y seguimos protocolos quirúrgicos contrastados que garantizan un tratamiento seguro, eficaz y adaptado a las características individuales de cada paciente.
Nuestro equipo
¿Dónde estamos?
Horario
Lunes a Viernes:
10:00 a 20:00
¿Cómo llegar?
Metro: Muy próximas a las estaciones de metro de Cuatro Caminos y Ríos Rosas.
Autobús: L12 en Cea Bermúdez – Gaztambide. L44 y N21 en San Francisco de Sales – Plaza de Cristo Rey. C1 en Isaac Peral – Hospital Clínico.
¿Dónde aparcar?
La clínica se encuentra en una zona de aparcamiento regulado (verde y azul), junto a las instalaciones deportivas de Golf Canal, donde suele ser sencillo encontrar plaza cerca.
Parking más cercano: Si lo prefieres, también dispones del Parking privado Azafata, a pocos minutos a pie.

Si vives en otra ciudad y te interesa este tratamiento, también puedes realizar una elevación de seno maxilar en Murcia, donde ofrecemos la misma calidad asistencial y especialización.
Opiniones elevación de seno maxilar
Muchos de nuestros pacientes han recuperado su calidad de vida gracias a este tratamiento. En sus opiniones destacan la claridad de la explicación, la profesionalidad del equipo y la tranquilidad con la que vivieron el proceso quirúrgico.
Valoración gratuita de elevación de seno maxilar en Madrid
Conoce más sobre la elevación de seno maxilar
Si quieres ampliar la información, te invitamos a leer otros artículos donde abordamos diferentes aspectos relacionados con la elevación de seno maxilar y su aplicación en tratamientos con implantes dentales.






