
La falta de hueso impide colocar implantes con seguridad. Por suerte, existen técnicas eficaces para regenerarlo.

El precio del injerto de hueso dental depende de cuánto tejido óseo haya que regenerar. A continuación, te lo explicamos en detalle.

Tras el injerto, el proceso de cicatrización es gradual, pero no doloroso. Podrás hacer vida normal casi desde el primer día.

¿Qué es un injerto de hueso dental?
El injerto de hueso dental es una intervención quirúrgica rápida, segura y generalmente indolora, indicada cuando no existe suficiente hueso para colocar implantes dentales.
Con este implante de hueso dental conseguimos que nuestros pacientes tengan la calidad y, sobre todo, la superficie ósea necesaria para poder realizar el tratamiento.
El material de injerto suele presentarse en forma de partículas biocompatibles que, al integrarse, favorecen la regeneración del hueso maxilar.
Estas técnicas están ampliamente documentadas en la literatura científica como tratamientos eficaces para regenerar el hueso en pacientes con reabsorción ósea, especialmente en casos complejos de atrofia mandibular (Martínez Álvarez et al., 2018) ¹.

Gracias al aumento de la cantidad de hueso, se consigue el espacio necesario para que los implantes se fijen de forma estable y con la inclinación adecuada, garantizando una prótesis segura y duradera.
Este paso es clave para que el tratamiento funcione correctamente y se mantenga en buen estado durante muchos años.
Por ello, es fundamental que el tratamiento sea realizado por especialistas con experiencia en regeneración ósea.
¿En qué consiste el injerto de hueso?
El injerto de hueso maxilar es la mejor solución cuando el hueso del paciente es demasiado estrecho o demasiado corto para colocar un implante.
La regeneración ósea proporciona una buena sujeción, aumentando la anchura y la altura del hueso de manera que el implante dental pueda estar completamente anclado sin movimiento.

Todo comienza con una primera consulta en la que realizamos pruebas y analizamos la zona para ver la cantidad de injerto que se va a necesitar y determinamos con el paciente cómo será el proceso que seguiremos.
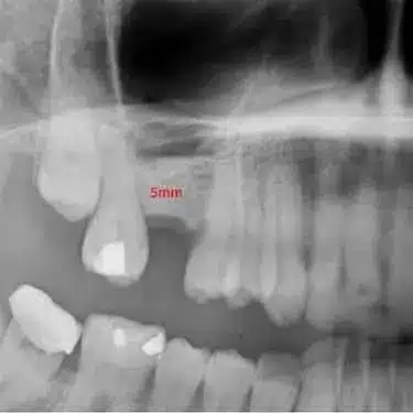
Durante esta valoración inicial, realizamos un escáner 3D o TAC dental de alta precisión que nos permite observar en detalle la cantidad y calidad del hueso disponible.
Esta imagen tridimensional nos ayuda a planificar el injerto con total seguridad, definiendo el volumen necesario y localizando estructuras anatómicas importantes como el nervio dentario o el seno maxilar.

Tras esta fase de planificación pasaremos a la preparación de la zona y a la intervención quirúrgica, que se realiza siempre bajo anestesia para que resulte totalmente indolora.
Tras colocar el injerto de hueso dental, habrá que vigilar muy bien el área y esperar unos meses para que se complete el proceso de osteointegración.
Durante este periodo de cicatrización, el hueso injertado se va integrando con el hueso natural del paciente, formando una estructura sólida que permitirá la colocación del implante con todas las garantías.
Mediante revisiones clínicas y nuevas pruebas de imagen, confirmamos que la regeneración ósea avanza correctamente antes de programar la colocación del implante. Así garantizamos un resultado predecible, seguro y duradero.

¿Cuándo es necesario un injerto de hueso dental?
La pérdida de hueso dental puede deberse a distintas causas que afectan al maxilar con el paso del tiempo. Las más comunes son:
- Falta de hueso en las encías por enfermedad periodontal.
- Ausencia ósea por un traumatismo dental.
- Pérdida de hueso después de una extracción dental.
- Reabsorción ósea dental por no sustituir un diente perdido.
- Movimiento y desgaste de las dentaduras postizas durante largos períodos de tiempo.
- Infecciones graves o quistes en el hueso que provocan su destrucción progresiva.
La reabsorción ósea tras la pérdida dentaria es un proceso crónico, progresivo e irreversible que puede dificultar la colocación de implantes si no se actúa a tiempo (Monzón Trujillo et al., 2014) ².

Diagnóstico completo para implantes dentales.
- TAC dental: precio habitual 120 € → 0 €
- Valoración con el implantólogo
- Plan de tratamiento adaptado a tu caso
Promoción válida para los primeros 20 pacientes durante el mes de .
Precio del injerto de hueso
Aquí te dejamos nuestras tarifas actualizadas para que puedas conocer el precio del injerto de hueso dental en nuestra clínica.
Solicítanos un presupuesto gratuito y sin compromiso. Si tienes dudas sobre el coste del tratamiento, estaremos encantados de asesorarte.
| Precio | |
|---|---|
Regeneración ósea dental | Precio 260 € |
Injerto de hueso liofilizado 0,5 gr. | Precio 200 € |
Injerto de hueso liofilizado 1 gr. | Precio 300 € |
Injerto de hueso liofilizado 2 gr. | Precio 400 € |
¿Cuánta cantidad de hueso liofilizado necesito? La cantidad de material necesario depende del grado de pérdida ósea y del número de implantes a colocar.
- En casos de pequeñas reabsorciones óseas, lo habitual es utilizar 0,5 gramos de injerto, suficiente para regenerar zonas localizadas.
- Cuando la pérdida de hueso es moderada o se van a colocar varios implantes, se recomienda 1 gramo de injerto.
- En situaciones con gran reabsorción ósea o tratamientos más complejos, pueden ser necesarios hasta 2 gramos de injerto.
Nota importante sobre el precio del injerto de hueso dental en nuestra clínica en Madrid.
Las tarifas que se muestran en esta sección son orientativas, ya que es necesaria una valoración previa por parte de nuestros dentistas para confirmar el tratamiento y, en su caso, la necesidad de procedimientos complementarios.
En Clínica Dental Medics Dr. Ferrer trabajamos con presupuestos claros y detallados, que se explican al paciente antes de iniciar cualquier tratamiento.
El precio indicado corresponde a la técnica del injerto de hueso con material liofilizado.
Si quieres conocer todos los costes que intervienen en un tratamiento completo, en cada sección de nuestra web puedes consultar el precio de cada técnica o componente protésico que pueda ser necesario según tu caso.
Te recomendamos leer nuestro artículo sobre el precio final de un implante dental con todo incluido donde explicamos cada uno de ellos y su coste.
Puedes enviar tu radiografía o presupuesto dental y te indicaremos un presupuesto orientativo según nuestras tarifas, que confirmaremos tras valorarte en clínica.



Antes y después injerto de hueso dental


Lo que debes saber antes de recurrir al injerto de hueso
A continuación respondemos a las preguntas más frecuentes sobre el injerto de hueso dental.
¿Es doloroso el injerto de hueso dental?
No es doloroso ya que se realiza bajo anestesia.
No obstante, el postoperatorio puede resultar molesto durante los primeros días, debido a la inflamación de la zona intervenida.
¿Cómo es el postoperatorio de un injerto de hueso?
Durante los primeros días hay que tomar antibióticos para evitar posibles infecciones así como antiinflamatorios para controlar el dolor del posoperatorio.
También recomendamos evitar realizar ejercicio o esfuerzos físicos durante la primera semana y seguir una dieta blanda.
¿Hay alternativas al injerto de hueso?
Sí, además del injerto de hueso maxilar existen otras técnicas de regeneración como la expansión ósea o la elevación de seno maxilar.
¿Cuánto tengo que esperar hasta poder ponerme el implante/prótesis?
Dependerá del tipo de injerto que se utilice y también de las características del propio paciente.
No todas las personas tienen el mismo tiempo de cicatrización. En consulta te daremos a conocer todos los detalles.
Referencias bibliográficas
¹ Martínez Álvarez, O., Barone, A., Covani, U., Fernández Ruíz, A., Jiménez Guerra, A., Monsalve Guil, L., & Velasco Ortega, E. (2018). “Injertos óseos y biomateriales en implantología oral”.
Artículo en PDF – Scielo² Monzón, D; Martínez, I; Rodríguez, R; Piña, J (2014) “Injertos óseos en implantología oral”
Artículo – Revista Médica ElectrónicaEspecialistas en injerto de hueso en Madrid
Nuestros doctores especialistas en injerto de hueso han acumulado años de experiencia en este campo.
Gracias a su profesionalidad, favorecen la rápida regeneración del hueso maxilar, tanto en calidad como en cantidad, para soportar la raíz de titanio adecuadamente en el momento de la colocación de los implantes.
Nuestro objetivo es que recuperes tu sonrisa con seguridad, confianza y los mejores resultados a largo plazo.
Nuestro equipo
Contamos con un equipo de especialistas que te acompañará en cada etapa del tratamiento.
Nuestro valor diferencial es combinar la excelencia profesional con una atención cercana y personalizada. Aquí puedes conocer a los doctores que forman parte de nuestro equipo.
¿Dónde estamos?
Horario
Lunes a Viernes:
10:00 a 20:00
¿Cómo llegar?
Metro: Muy próximas a las estaciones de metro de Cuatro Caminos y Ríos Rosas.
Autobús: L12 en Cea Bermúdez – Gaztambide. L44 y N21 en San Francisco de Sales – Plaza de Cristo Rey. C1 en Isaac Peral – Hospital Clínico.
¿Dónde aparcar?
La clínica se encuentra en una zona de aparcamiento regulado (verde y azul), junto a las instalaciones deportivas de Golf Canal, donde suele ser sencillo encontrar plaza cerca.
Parking más cercano: Si lo prefieres, también dispones del Parking privado Azafata, a pocos minutos a pie.

Si necesitas un injerto de hueso dental en Murcia, también puedes confiar en la experiencia del Dr. Ferrer en nuestra clínica de la ciudad, donde aplicamos los mismos estándares de calidad.
Opiniones injerto de hueso
Te invitamos a leer algunas opiniones en las que los pacientes de la Clínica Dental Medics Dr. Ferrer comparten sus experiencias. Descubre testimonios auténticos sobre nuestros tratamientos y servicios, y cómo hemos ayudado a mejorar su salud y su sonrisa.
Valoración gratuita de injerto de hueso dental en Madrid
Conoce más sobre el injerto de hueso dental
Descubre más sobre el injerto de hueso dental y otros tratamientos relacionados con la salud bucodental en nuestros artículos especializados.





