Regeneración de hueso para colocar implantes dentales
La falta de hueso para colocar implantes dentales es en ocasiones un inconveniente para algunos de los pacientes que desean llevar acabo alguno de nuestros tratamientos de implantología.
Cuando se ha perdido una gran cantidad de hueso dental, es muy recomendable que tu dentista realice una regeneración ósea para que el tratamiento tenga muchas más probabilidades de éxito.

La colocación de un implante dental con poco hueso es contraproducente.
Al igual que nuestros dientes naturales, los implantes están expuestos todos los días a fuerzas oclusales considerables .
Al no haber una base ósea suficiente, las posibilidades de fracaso de un implante dental son muchísimo más altas.
Si no hay una base sólida de hueso dental, el implante y la corona no estarán fijados adecuadamente y no podrán soportar las fuerzas de masticación y presión de nuestros dientes.
Aunque inicialmente haya una falta de altura, anchura o densidad ósea en el hueso de la mandíbula o el hueso maxilar superior, muchos de los casos de implantes dentales con poco hueso pueden ser realizados por un odontólogo especialista en regeneración ósea.
Mediante técnicas avanzadas de injerto de hueso dental es posible realizar un tratamiento de implantes dentales cuando no hay hueso.
¿Por qué perdemos hueso en el maxilar y la mandíbula?
Reabsorción del hueso alveolar
La falta de hueso dental maxilar superior o inferior se debe en la mayoría de los casos ha tres razones:
- Al no sustituir los dientes perdidos por implantes dentales inmediatamente se produce un reducción del hueso por los huecos entre las piezas dentales.
- Pérdida de hueso por periodontitis avanzada. La enfermedad periodontal si no es tratada dará lugar a la retracción del hueso y de las encías.
- El roce de la dentadura postiza mal ajustadas acaban desgastando también la cantidad de hueso debido al movimiento y fricción de la prótesis.

Estos factores hacen que el hueso dental pierda altura, ancho y densidad, lo que provoca que sea más difícil colocar implantes en el hueso maxilar.
Si faltan dientes y no se reemplazan por implantes quedarán espacios. El hueso maxilar tenderá a retraerse y las piezas adyacentes se mueven, ganando el hueco libre que dejó el diente perdido.
Recomendación del implantólogo: para evitar la reabsorción ósea reemplaza los dientes perdidos por implantes dentales lo antes posible con un dentista especializado.
Anatomía y morfología de los senos paranasales

El seno maxilar se encuentran debajo de la órbita ocular, en el hueso maxilar superior, al lado de las fosas nasales.
Estas cavidades con forma de pirámide forman los senos paranasales de nuestra cara.
Dependiendo de la morfología y anatomía de cada persona los senos maxilares pueden tener mayor diámetro.
Esto provoca en ocasiones que la cantidad de hueso en algunos pacientes, incluso jóvenes, sea insuficiente siendo necesario aumentar hueso para un tratamiento con implantes dentales.
Soluciones para implantes dentales con poco hueso
Elevación de seno maxilar
La técnica de elevación de seno para implantes la realizan implantólogos especializados para aumentar la densidad del hueso.
Esta cirugía oral permite a nuestros dentistas poner implantes cuando hay ausencia ósea en la posición y con la inclinación adecuada.
Injerto de hueso artificial para implantes dentales

El mismo día de la extracción del diente perdido, la elevación de seno y el injerto de hueso dental.
Mediante un injerto óseo de hueso sintético en el maxilar o en la mandíbula conseguimos ganar anchura y altura ósea para poner el implante.
Después de la extracción los especialistas en injerto de hueso dental para el maxilar realizan la regeneración ósea aplicando material de hueso artificial que hará que el implante se consolide.
Mini implantes o micro implantes dentales

Los mini implantes o micro implantes son tornillos de titanio que tienen un diámetro de unos 2 mm y una longitud aproximada de 6 mm.
Estos implantes dentales cortos están especialmente diseñados para casos de implantología con poco hueso.
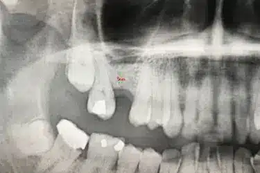
Caso de implantes sin hueso suficiente

Paciente real del Dr. Ferrer que presenta la ausencia de una pieza dental.
Al no haber sustituido el diente perdido se ha producido una reabsorción ósea que ha provocado una disminución de la altura del hueso maxilar.

Antes del injerto de hueso dental solo había una altura de 5 mm para colocar el implante.
Para que el especialista pueda colocar un implante dental de forma estable y segura, es necesario una altura de hueso maxilar de al menos 8 – 10 mm.

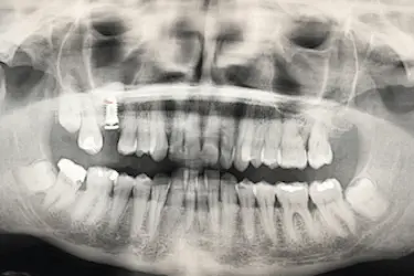
El mismo día de la cirugía el implantólogo realiza una elevación del seno maxilar y posterior injerto de hueso dental artificial.
El odontólogo levanta la membrana del seno maxilar para introducir del material de relleno que aumentará la cantidad y la calidad del hueso del paciente.

Después de la osteointegración del implante, el paciente acude a revisión para ver el estado del hueso artificial injertado.
La altura del hueso maxilar es ahora de 15 mm lo que ha permitido la colocación del implante dental con poco hueso inicialmente.
Especialistas en regeneración ósea dental y encía
Nuestra clínica dental está especializada en prótesis sobre implantes dentales y cirugía oral además de ofrecer todos los tratamientos odontológicos desde el año 1984.


Revisa los precios habituales de los tratamientos disponibles en nuestra clínica.


La Clínica dental medics del Dr. Ferrer está situada en la Calle de Ramiro II, 10, Chamberí, 28003 Madrid, una zona céntrica y bien comunicada.
Estamos a pocos minutos de las estaciones de metro Cuatro Caminos, Ríos Rosas, Canal y Nuevos Ministerios, lo que permite llegar cómodamente desde cualquier punto de la ciudad.

Nuestra clínica dental en Murcia se encuentra en la C. Donantes de Sangre, 3, 30007 Santiago y Zaraíche, Murcia, junto a la Avenida Don Juan de Borbón,una de las principales vías del norte de la ciudad.
A pocos metros de la parada de tranvía de Santiago y Zaraíche, lo que facilita llegar de manera rápida y sencilla desde distintos puntos de Murcia y su área metropolitana.





