A continuación te mostramos una selección de tratamientos reales realizados por nuestro equipo, con imágenes del antes y después que muestran la transformación conseguida.
Casos de Implantes Dentales

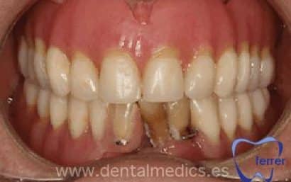
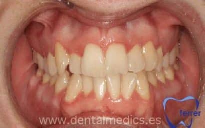
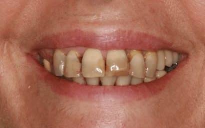
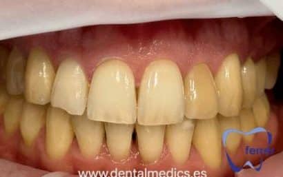
Antes

Después

Antes

Después

Antes

Después

Antes

Después

Antes

Después

Antes

Después

Antes

Después

Antes

Después

Antes

Después

Antes

Después

Antes

Después

Antes

Después

Antes

Después

Antes

Después
Casos de Ortodoncia

Antes

Después

Antes

Después

Antes

Después
Casos de Carillas dentales

Antes

Después

Antes

Después

Antes

Después

Antes

Después

Antes

Después
Casos de Blanqueamiento

Antes

Después

Antes

Después
Opiniones de Dental Medics Ferrer
Desde hace más de 30 años, miles de pacientes han depositado su confianza en el equipo del Dr. Ferrer para cuidar su salud bucal y mejorar su sonrisa.

Envíanos tu caso, adjunta tus imágenes y recibe el coste estimado de tu tratamiento en nuestra clínica.


Facilitamos el pago de tu tratamiento con planes de financiación sin intereses y cuotas personalizadas.
Pide ya cita en tu clínica dental de confianza
Escríbenos y te llamaremos lo antes posible para resolver tu consulta.
Reserva tu primera visita gratuita sin compromiso
CONTACTAR POR WHATSAPP



